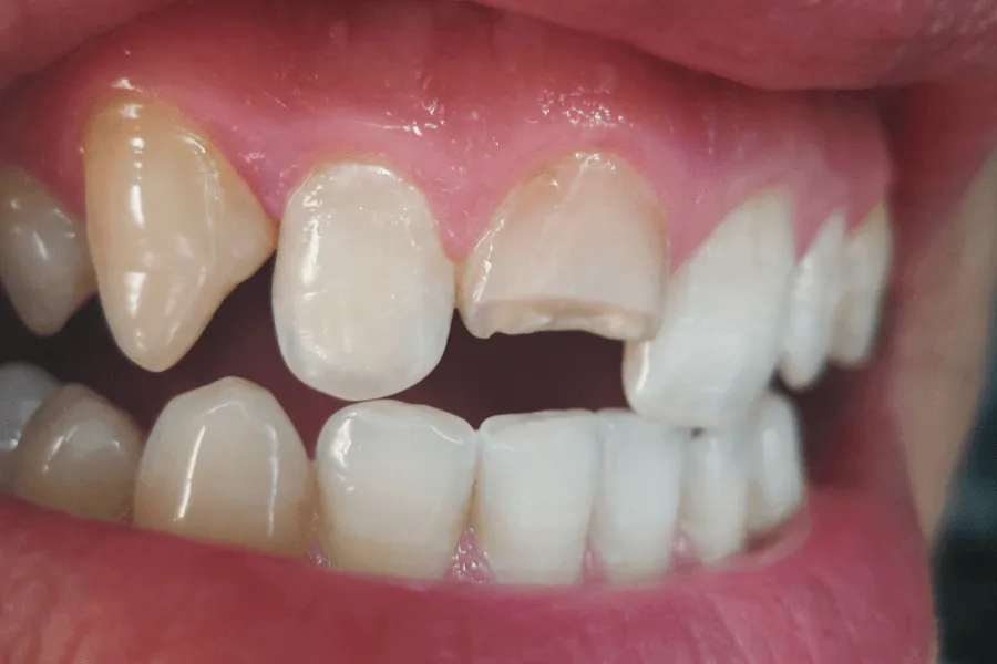
Czy każdą „odpryśniętą” krawędź trzeba leczyć od razu?

Tak, nawet małe ukruszenie łatwiej zabezpieczyć, zanim powiększy się w pęknięcie ściany.
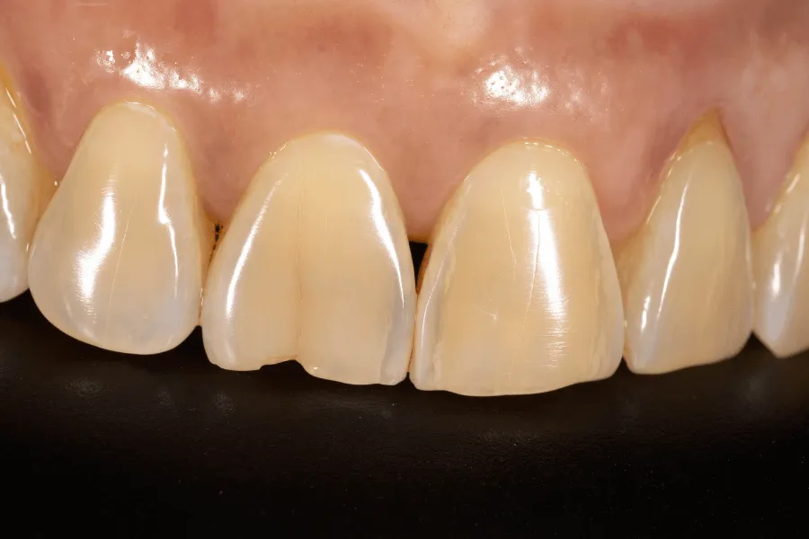
Onlay czy duże wypełnienie – co trwalsze?

Przy większych ubytkach onlay lepiej rozprasza siły żucia i dłużej utrzymuje szczelność.
Kiedy potrzebna będzie korona?

Gdy ściany są cienkie, ząb po endodoncji lub pęknięcie obejmuje znaczną część korony klinicznej.
Boli przy nagryzaniu – czy to zawsze kanałowe?

Często świadczy o pęknięciu zębiny/miazgi – wymaga diagnostyki. Niekiedy wystarczy onlay, ale przy zajęciu miazgi konieczna jest endodoncja.
Jak zapobiec pęknięciom w przyszłości?

Kontrola zgryzu, szyna przy bruksizmie, unikanie bardzo twardych kęsów, higienizacja co 6 mies. i szybka wymiana nieszczelnych wypełnień.